健康創富
關於我們 健康快拍 專題報導 醫學專科 講座資訊 營養飲食 健康問答
推薦連結
  瀏覽人數:17911748
2026年3月25日 星期三
 
健康創富 | 專題報導
 
Vol. 127 2011年6月

牙齒不齊威脅口腔健康

 
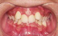
大部分人都認為牙齒不齊只會影響外觀,但除此之外,原來更會威脅口腔健康、咀嚼及發音問題。有醫生指出,本港近九成人有牙齒不齊問題,當中有四至五成人需要接受矯齒治療,但曾接受治療的只有13%。香港矯齒學會提醒市民,矯齒的目的不應局限於外表美觀,而是要擁有長遠健康的牙齒。
 
香港矯齒學會在今年3至4月期間訪問了1,015名18至40歲的本港市民,38.7%受訪者不知道「牙齒不齊」的定義。八成人知道牙齒不齊會影響口腔或牙肉健康,但分別有85.2%及88.6%的市民不知道牙齒不齊會增加蛀牙及牙周病的機會。79.1%市民認為牙齒不齊會影響日常生活及社交,61.2%覺得儀容外觀會被打折扣。另外,有87%受訪者未曾考慮矯齒,原因包括價錢(45.8%)、無急切需要(23.1%)、怕痛(19.3%)、太麻煩(13.5%)及年紀太大(9.6%)等。
 
阻礙清潔 滋生細菌
 
牙齒參差不齊、爆牙、哨牙、牙縫過大、牙齒倒及、咬合過深都為常見需要接受矯齒的情況。學會會長梁訓成醫生指出,「牙齒參差不齊,除了影響外觀,亦會容易積藏食物殘渣;爆牙會阻礙牙齒清潔,令牙垢積聚,容易滋生細菌從而形成牙菌膜,更會增加蛀牙及牙周病的風險;牙齒倒及和咬合不正皆會影響進食和發音,更可能令牙齒過度磨蝕;牙縫過大會容易在說話時濺出口沫,影響社交。因此,矯齒治療不但能美化儀容及提升個人自信,更能改善牙齒咬合排列,有助牙齒及牙肉健康,並改善發音及咀嚼能力。」
 
學會副會長劉潤華醫生表示,我們日常刷牙時會有一些隱蔽的位置較容易被忽略,建議有牙齒不齊的市民應多加注意,並配合牙線或牙縫刷清潔口腔,有需要時應接受矯齒治療。現時本港有多種牙齒矯正器配合市民的不同需要,主要包括外箍、活動式牙箍及內箍。療程時間則視乎矯齒者的牙齒健康狀況、年齡及是否需要接受牙科手術等,一般為期約1至3年。
 
箍牙無分年齡界限
 
調查中有部分港人認為矯齒有年齡限制,成年人並不適合,而且有些人認為「箍牙會痛」,梁訓成回應,現時大部分的矯齒治療都不會痛,而且箍牙並無年齡限制,有需要的兒童及成人均可接受矯齒治療。
 
他又建議,兒童在7歲時已可由牙齒矯正科醫生分析顎骨及牙齒情況,評估是否需要接受矯齒治療。因為兒童的新陳代謝較成年人快,牙齒被移動的速度也會較快,而且兒童的乳齒容易撞斷,因而令牙齒壞死,影響日後恆齒發育的位置不佳。因此,家長若發現兒童有牙齒不齊的情況,應及早讓他們接受矯齒療程。
 
■梁訓成表示,箍牙並無年齡限制,有需要的兒童及成人均可接受矯齒治療。
 
■牙齒不齊除會影響外觀,亦會阻礙清潔,容易滋生細菌,長遠影響口腔健康。
 
■固定式外箍
 
■固定式內箍
 
■活動式隱形牙箍

 

如需訂閱昔日《健康創富》雜誌 請電郵info@cyber-medic.com或致電25372092查詢
| | | | | | | | | |
Health Plus MagazineWeb Design, Web Hosting Company : SmartInfo