健康創富
關於我們 健康快拍 專題報導 醫學專科 講座資訊 營養飲食 健康問答
推薦連結
  瀏覽人數:17911687
2026年3月25日 星期三
 
健康創富 | 專題報導
 
Vol. 126 2011年5月

何謂「爆肺」?

有時候打開報章雜誌,都有報道說某某歌手因爆肺需送院治理,更有些人數度爆肺,情況嚴重。到底「爆肺」是怎樣的一回事?成因又是甚麼?會否造成生命危險?

 
氣胸(Pheumothorax)俗稱「爆肺」,是普遍的胸肺科問題。肺部與肋骨之間在正常的情況下是沒有空氣存在的,但肺膜一旦穿破,空氣便會不正常地流進胸腔,形成氣胸。
 
嚴重者會有生命危險
 
心胸肺外科專科醫生崔永雄表示,「肺部表面的氣泡體積若較微小,病人未必能察覺得到,但氣泡的體積若較大,病人可能會出現胸痛、氣促、咳嗽等病徵。」
 
■崔永雄解釋,肺膜一旦穿破,空氣便會不正常地流進胸腔,形成氣胸
 
曾有青年在打籃球時感到胸口痛,誤以為是打球時被人撞擊,所以引致肌肉疼痛,結果發現原來是氣胸。崔永雄指出,「出現氣胸後仍繼續運動,會令病情愈來愈嚴重。有些嚴重的個案,因流出的空氣所形成的壓力太大,甚至壓擠着心臟,令其血管被屈曲,血液因此不能流到心臟,導致病人休克及造成生命危險。」
 
成因眾多高瘦青年屬高危
 
氣胸主要分為兩大類:原發性氣胸及繼發性氣胸。崔永雄指出,原發性氣胸的成因至今未明,但主要出現於一些身型高瘦的年青男性身上,因為他們天生肺部的頂部存有氣泡,而且這些氣泡的壁膜很薄,故此容易出現氣胸情況。其中有約
八成病人都是由於進行劇烈運動、搬運重物、做健身等而導致氣胸,但亦有少部分病人在進行一些靜態活動,如看書、看電視時出現氣胸。「另外,一些本身肺部氣泡比較脆弱的人士若遇上氣壓的轉變,例如飛機升降時形成的氣壓變化,
或潛水時浮或沉的速度太快,同樣會形成氣胸。」崔永雄補充。
 
繼發性氣胸則是由一些肺病所引致,例如有些吸煙人士會因肺氣腫令肺膜愈來愈薄,最後導致氣胸;也有一些人因為發生意外,如撞車、進行球類活動時被人撞擊而折斷肋骨並刺穿肺部,令其「漏氣」而導致氣胸;也有一些情況是在進行醫療程序中,被插入的喉管插穿肺部而形成的。
 
另外,崔永雄續指,「有少部分女性因子宮內膜移位,令橫隔膜出現小孔引致空氣進入胸腔,而造成氣胸。這些病人於每個月月經的第一天都會出現輕微的氣胸情況,因此大部分人未必察覺得到,直至氣胸愈來愈嚴重,至出現病徵始才發覺。」
 
■由於天生肺部的頂部存有氣泡,而且壁膜很薄,故此身型高瘦的年青男性容易出現氣胸情況。
 
■氣壓的轉變例如飛機升降時形成的氣壓變化,都是造成氣胸的誘因。
 
 
情況嚴重須接受手術
 
崔永雄表示,大部分病人肺部的氣泡穿破後,黏膜都會自動黏合復原。若病人的病情屬輕微,肺部的萎縮情況少於10%,只需卧床休息及觀察2 4小時,並給予氧氣,讓肺部自行復原便可出院。醫生亦可選擇以刺針的方法,把空氣抽出體外,讓肺部自行復原。若肺部萎縮情況大於25%,便必須在病人的胸腔插上引流管,把空氣抽出體外,讓肺部重新擴張。
 
一般情況下,首次出現氣胸並復原後,病人可待復發時才接受手術。但當有以下情況,病人於首次出現氣胸後,便必須接受手術:
 
1.病人的氣泡未能自行癒合,並持續漏氣。
2.肺部萎縮的幅度太大,令其被擠壓得只有拳頭般大小的病人,以防他們復發時會導致生命危險。
3.一些需要經常用力的高危職業,如搬運工人、於飛機上工作的機組人員、潛水員、紀律部隊、運動健將等。
 
■圖片所顯示氣泡的切除過程,箭咀所指位置可清楚見到氣泡。 
 
胸膜黏連手術 防止氣胸復發
 
崔永雄表示,醫生會於病人的腹部開3個約1厘米的小孔,以胸腔鏡輔助技術找出肺部的氣泡,用微創方式把氣泡連同小部分肺部一併切除。為了防止病人再度復發,醫生會為病人進行「胸膜黏連手術」,用儀器把胸膜內壁摩擦至少許「發炎」狀態,形成纖維組織,讓這些纖維組織把肺部永久黏在胸膜上。
 
病人於手術後的首六個星期不能進行劇烈運動、不能搬運重物及進行高危活動,如乘搭飛機、潛水等。待六個星期後,病人若在X光檢查中顯示肺部已完全復原,便可過回正常生活。
 
至於復發的機會有多大,崔永雄說:「在第一次出現氣胸後,若病人沒有接受手術,復發的機會率將高達四至五成,而接受胸膜黏連手術後,病人的復發率則只有3至5%。由於現時處理氣胸的手術絕大部分都是以微創方式進行,復原速度快,病人的接受程度相比以前較高,大部分人多會選擇接受手術,以減低復發機會。」崔永雄強調,有吸煙習慣的病人在手術後,復發的機會會較一般人高,因此他呼籲,吸煙人士要減低復發機會,便應及早戒煙。
 
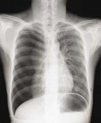
■從X光照片中,可以見到患者的左肺因氣胸而被空氣壓至萎縮。

■崔永雄強調,有吸煙習慣的病人在手術後,復發的機會會較一般人高。

 

如需訂閱昔日《健康創富》雜誌 請電郵info@cyber-medic.com或致電25372092查詢
| | | | | | | | | |
Health Plus MagazineWeb Design, Web Hosting Company : SmartInfo