人的脊椎勞損從骨骼成熟後就開始。一般來說,三四十歲時,我們的脊椎就會開始出現椎間盤不穩及鬆脫的現象,但是,80%的患者,其痛症都可以通過多做運動及改善姿勢去紓緩。
文、圖︰張啟然醫生
30至50歲的人群中,最普遍的是坐骨神經痛。
中年人士多受 坐骨神經痛困擾
坐骨神經痛是一種呈放射性的痛症,通常從臀部放射到大腿、小腿,當咳嗽或大小便時,痛楚特別強烈。然而,坐骨神經痛只是一種病徵,並非診斷。
最常見的診斷,是腰部的椎間盤突出,壓住個別的神經根。突出的節段又以腰椎第4、5節或腰椎第5節骶骨第1節最為常見。醫生通常會建議病人先嘗試6個星期的保守治療,如物理治療、藥物治療,6個星期後有超過80%病人的坐骨神經痛會得到明顯的紓緩。但是,這並不等於椎間盤縮了回去;椎間盤一旦突出,就不會復位了,所以不要盲目追求甚麼復位,我們要治療的並非X光或磁力共振的影像,而是病人的痛症及它對日常生活造成的障礙。如果保守治療不成功,醫生才會建議用外科的方法治療。
腰椎神經壓迫致疼痛
老年人比較常見的為椎管狹窄。隨着年齡增長,我們的脊椎會自行出現增生以穩定身體。韌帶、小關節和骨頭都會增生。增生雖然減低了脊椎的活動程度,但另一方面亦起了穩定作用,所以如果這些增生並不引起疼痛,就沒有甚麼大問題。
如果椎管內出現嚴重增生,特別是發生在有發育性椎管狹窄的人身上,就會變成退化性的椎管狹窄。
這樣的退化期通常長達數十年,神經會慢慢適應愈來愈窄的椎管,直至椎管窄到不能再窄,神經壓迫得十分嚴重時,病人才會出現病徵,所以此病通常出現在老人家身上。
退化性椎管狹窄的病人在站立或行走時會覺得雙腿很重、很痛,尤其是大腿、小腿的後側,站立或走了一會兒就必須坐下休息數分鐘,甚至超過10分鐘,更嚴重的病人在平躺時也會覺得疼痛。
這是因為人體在站立時,脊椎是前挺的,所以椎管會變得較狹窄。血液無法輸送到腰椎神經,而神經是向下的,所以若腰椎神經受壓迫及缺血,雙腿就會感到不適,出現上述情況。平躺出現疼痛的道理亦相同。
這也就是我們常說的「血氣不足」。不過,血氣不足的並不是我們的雙腿,而是腰椎的神經。
臨床診斷確定治療方案
有些病人感到雙腿不舒服,嘗試用各種方法去治療雙腿,可是並沒有明顯的改善,這是因為問題的根源是腰椎,所以無論怎樣治療雙腿也無效,畢竟治病最重要的是通過臨床診斷然後對症下藥。
曾經有一個80多歲的老人家,雙腳非常疼痛,行動亦十分不便,每次只可行走5分鐘,之後就要坐下休息,當他來看我的時候,他真的覺得自己的情況已經屬於無藥可醫。
然而,經過臨床檢查,我發現他的病是由退化性腰椎椎體滑脫而引起的嚴重椎管狹窄。由於可以確定神經受壓的地方,再加上他的身體狀況及骨質密度都良好,所以我建議他動手術進行神經減壓及椎體融合去醫治。當然手術不可能令病人重返年輕時的體質與狀態,但是至少可以幫他減輕疼痛及改善生活素質。
數據顯示患有退化性椎管狹窄的病人中,1/3病人通過保守治療(藥物及物理治療)可以得到改善;1/3病人在保守治療後並沒有明顯的改善,亦沒有惡化;剩下的1/3病人則情況持續變差,如果痛症嚴重影響生活素質,醫生會建議病人動手術進行神經減壓。
另外,還有極少數病人於很後期才求診,有可能會出現失禁的情況,不過,這情況十分少見,無需太過擔心。
多做運動注意姿勢
許多中年人士身體開始出現不同程度的退化,經常受到各種痛症的困擾,影響日常生活、工作及社交活動。他們或許四處求醫,接受了各式的治療,也僅得到短暫的好轉,一旦不吃藥或暫停物理治療那些疼痛又立刻重現。
這樣的病徵未必可以確定是由甚麼問題引起,同時又不屬於嚴重得要動手術去解決,所以患者只需找醫生做仔細的臨床診斷,去排除其他嚴重疾病(例如:癌症)的可能性,並且聽醫生解釋這些痛症的原因。最重要的是保持健康的生活習慣,多做運動、加強鍛鍊肌肉、改善姿勢,那些煩人的痛楚便會逐漸消失。
因此,對於我來說複雜的病只要可以確定其病因,大多有醫治方法;相反,那些確定不了原因的輕微痛症,倒要靠病人自身的努力去改善。

■這是一位七十多歲婆婆的X光片,從中可見在腰第四、五椎管處有退化性滑脫。不可以靠外力復位。

■從磁力共振中可見腰第四、五椎管嚴重狹窄。右上圖:正常的腰椎管寬度,右下圖:腰第四、五椎管的神經組織幾乎看不見了。

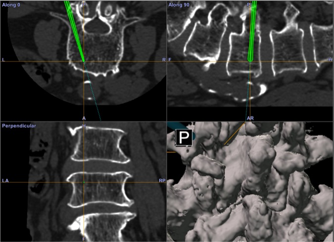
■利用三維電腦導航技術植入螺絲,即使是骨質相對疏鬆亦可用此方法進行固定。

■做完減壓及融合後的X光,只有利用外科手術才可將椎體滑脫復位。