健康創富
關於我們 健康快拍 專題報導 醫學專科 講座資訊 營養飲食 健康問答
推薦連結
  瀏覽人數:17912060
2026年3月25日 星期三
 
健康創富 | 醫學專科
 
Vol. 127 2011年6月

頸淋巴腫大

 
頸部淋巴腫大的原因,可能是傷風感冒、口腔潰瘍、鼻竇炎、皮膚炎等,亦可能是惡性腫瘤入侵,因此,若發現頸淋巴腫大,必須儘早求醫診治,找出病因,以得到合適的治療。
 
文、圖(部分):袁寶榮醫生
 
淋巴功能
 
淋巴或稱淋巴結(lymph node)是白血球的生產基地,淋巴系統( lymphatic system)的主要功能是打擊感染(infection),正常情況下,頸部有常註幾粒細小淋巴。
 
淋巴腫大成因
 
淋巴腫大最常見原因是頭頸部有感染或炎症,例如傷風感冒、口腔潰瘍、扁桃腺炎、鼻竇炎、皮膚炎或創傷。當頭頸部有感染或炎症發生,淋巴內白血球立刻反應性增生(reactive hyperplasia),生產大量白血球迎戰,這時頸部淋巴會腫大,而白血球會循淋巴管(lymphatic duct)到達感染現場,消滅細菌。
 
頭頸部感染的細菌如果沒有被消滅,便可以進入淋巴管到達頸淋巴結,破壞淋巴結,引致淋巴細菌炎(infective lymphadenitis)。最常見的細菌是肺結核(tuberculosis)。肺結核菌的入侵點是鼻咽淋巴而不是肺部,然後再擴散到頸部淋巴。
 
淋巴結腫大的另一重要原因是惡性腫瘤入侵。惡性腫瘤可分為原發性和轉移性兩大類。原發於淋巴的惡性腫瘤即是淋巴癌(lymphoma),轉移性惡性腫瘤(nodal metastasis)側是頭頸部惡性腫瘤擴散到頸部淋巴,例如鼻咽癌、舌癌、喉癌。
 
淋巴腫大的其他不常見原因還包括菊池病(Kikuchi disease)、卡斯托曼病(Castleman’s disease)、免疫球蛋白G病(IgG4 disease)。
 
淋巴腫大怎麼辦
 
如果頸部淋巴腫大是由於頭頸部有感染或炎症引起的反應性增生,淋巴一般只會增大至少於3厘米,無痛和觸診柔軟。治療方面,只要患者頭頸部的感染或炎症得到治療,淋巴腫大便會慢慢消退。
 
如果頸部淋巴腫大,而沒有明顯頭頸部感染或炎症病徵,這時便需要詳細檢查,找出病因。第一步是先確定是否由於有隱性頭頸部惡性腫瘤擴散到頸部淋巴。惡性腫瘤淋巴可以增大至超過3厘米,甚至6厘米以上,大量淋巴結,無痛,觸診堅硬和淋巴結互相纏結。醫生需要問診可疑病徵,例如鼻咽癌可能有唾液和鼻液帶血、單耳有聽力損失和耳鳴;舌癌可能有口腔痛楚潰瘍、語音不清和吞嚥困難;喉癌可能有唾液帶血、聲沙、呼吸和吞嚥困難。如果有這些可疑症狀,必須要針對性檢查找出病因。
 
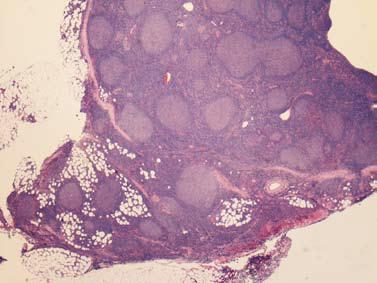
如果沒有可疑症狀,則需要做鼻咽喉內窺鏡檢查。要是發現頭頸部有惡性腫瘤(圖一是內窺鏡檢查,可見鼻咽癌),需要取組織做病理確診,然後再施以針對性治療。如果鼻咽喉內窺鏡檢查沒有發現腫瘤,需要做頸部超聲波檢查,包括腮腺、頜下腺、甲狀腺。如發現可疑病變,可進一步用超聲波導引抽取細胞病理確診(圖二是超聲波檢查,圓點所示為甲狀腺癌)。如果超聲波檢查沒有找出病原,需用超聲波導引抽取淋巴細胞做病理分析。如果淋巴細胞病理分析結果仍然未能確診,便需做手術拿取淋巴做病理切片分析,確診後便可進行針對性治療(圖三是頸淋巴癌的病理切片)。
 
頸淋巴惡性腫瘤的治療
 
治療頭頸癌的頸淋巴擴散,要考慮個別頭頸癌的情况。鼻咽癌和咽喉癌需以化療配合電療為第一線醫治。如果治療失敗或復發,便要做頸清掃手術(neck dissection)將頸淋巴割除。口腔癌、口水腺癌和甲狀腺癌需以頸清掃手術為第一線醫治,術後再輔以電療醫治。
 
隱性頸淋巴擴散
 
頭頸癌常有隱性頸淋巴擴散,例如早期鼻咽癌和舌癌有30%至70%隱性頸淋巴擴散。頭頸癌患者即使沒有頸淋巴腫大,亦必須做超聲掃描頸部,必要時可做正電子掃描(PET scan),找出隱性頸淋巴擴散,便可及早治療。
 
如果超聲波掃描或正電子掃描並沒有找到隱性頸淋巴擴散,可定性頸部為零期(N0)。不過,這並不等如沒有隱性頸淋巴擴散,因為若隱性頸淋巴擴散太小,掃描也未必能找到。在這情况下,如果頭頸癌的第一線醫治是電療,例如早期鼻咽癌,即使頸部為N0期,也需同時電療頸部(預防性電療)清除有可能的隱性頸淋巴擴散。如果頭頸癌的第一線醫治是手術為主,例如早期舌癌,那就可考慮進行預防性頸清掃手術或定期超聲波掃描頸部兩方案。定期超聲波掃描頸部可及早發現頸淋巴擴散,若有發現擴散,就可儘早做根治性頸清掃手術。兩個方案的術後存活率是一樣的,患者須考慮自己的情況作决定。
 
 
圖一
  
圖二
 
圖三

 

如需訂閱昔日《健康創富》雜誌 請電郵info@cyber-medic.com或致電25372092查詢
| | | | | | | | | |
Health Plus MagazineWeb Design, Web Hosting Company : SmartInfo